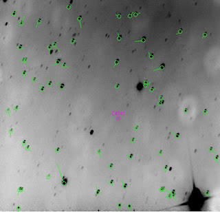
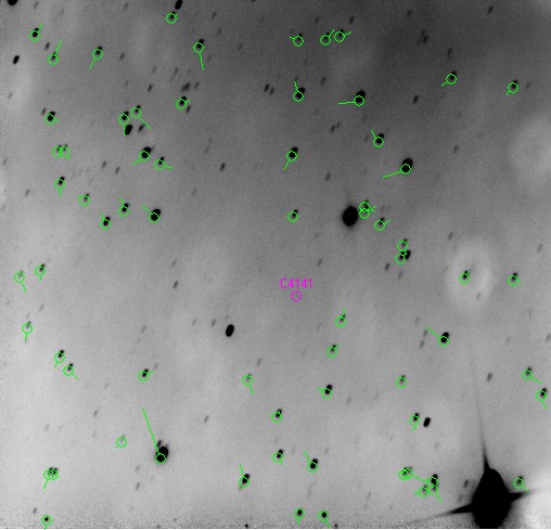
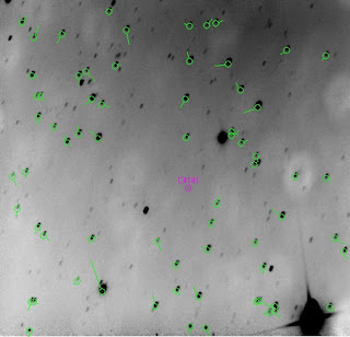
El asteroide (124141)2001 LL18 de magnitud 18,1. Una doble alegría ya que fué lograda con la Luna basatnte crecida ya lo que me ilusiona bastante para noches mas oscuras.
Fueron 50 tomas de las cuales usé 40.
Debo aún hacer unas mejoras a la camara para lograr un mejor enfriado, por lo que la sensibilidad debería mejorar más aún.
El horizonte se abre un poco mas y podemos soñar con hacer alguna recuperación.
.jpg)
Bien Andrés, seguro que sin Luna algo más vas a lograr. Felicitaciones. Alejandro.
ResponderEliminar